金沙9001以诚为本
当前位置: 首页 > 就诊指南 > 常见眼病新闻 > 正文

糖尿病视网膜病变有哪些症状,哪些危害?

作者:未知 2017-11-15 10:54:03
字体大小:
【导读】人的眼球后面有一布满微血管的薄膜即视网膜,对于高血糖与高血压患者而言,其视网膜上的微血管容易出现扭曲变形甚至破裂出血。尤其是长期、慢性高血糖导致的视网膜病变:出血、水肿、渗出、视网膜脱离等严重损害视力。

  人的眼球后面有一布满微血管的薄膜即视网膜,对于高血糖与高血压患者而言,其视网膜上的微血管容易出现扭曲变形甚至破裂出血。尤其是长期、慢性高血糖导致的视网膜病变:出血、水肿、渗出、视网膜脱离等严重损害视力。


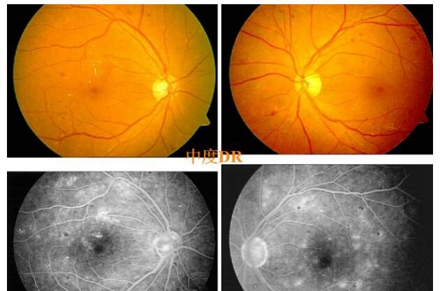
1.jpg

  糖尿病与糖网病的关系

  糖尿病患者在5年病程之内发生视网膜病变者较少,约10%的患者在发病后5至9年发生视网膜病变,15年后发生者约占50%,25年后发生者占80~90%。


2.jpg 

  糖网病病理

  毛细血管内皮细胞破坏

  周细胞的选择性减少甚至消失

  细胞移行、增生

  新生血管形成

  出血、渗出、膜增殖、牵拉性视网膜脱离


2.jpg

  糖网病的临床症状

  早期:多数患者没有 临床症状——糖网病是导致失明的无形杀手。

  晚期:严重视力下降 出现视网膜大片出血、玻璃体积血、牵拉性视网膜脱离、新生血管性青光眼、黄斑水肿。

  

3.jpg

       糖网病的眼底表现

  微血管瘤

  出血斑

  渗出

  视网膜静脉扩张、动脉变细、小血管闭塞

  新生血管

  玻璃体积血

  牵拉性视网膜脱离

  

       糖网病的检查手段

  眼底镜:简便易行

  眼底照相:客观记录

  眼底荧光血管造影:更清楚、更敏锐

  OCT(光学相干断层扫描)

  6糖网病的处理

  对糖尿病病程10年和伴有轻微非增殖期DR病的病人,应建议半年进行一*次眼底检查,如伴有中期的DR和或糖尿病超过10年的病人应每三个月检查一*次。

  7糖网病的医治

  控制血糖:将血糖控制到正常或接近正常水平,有益于延缓DR病变的进行或减轻病情

  药物医治

  激光医治

  玻璃体切割术

  VitB12 (弥可保)辅助医治

  “糖网病 及早发现,及时医治,病情是可以得到控制的。先医治先控制,能药物医治就不要拖到必须手术医治。有医治条件的,能保留视力就不要拖到失明,不要给自己和家人留下遗憾。”金沙9001以诚为本眼底病专家总结道。


在线咨询
返回

  • 华北地区
  • 华南地区
  • 西南地区
  • 华中地区
  • 华东地区
  • 西北地区
  • 东北地区
金沙9001以诚为本微信公众号 微信公众号